Ένα σπασμένο δόντι δεν είναι ποτέ διασκεδαστικό. Ακόμα κι έτσι, τα σπασμένα δόντια είναι ένα από τα πιο κοινά οδοντιατρικά επείγοντα περιστατικά . Τα σπασίματα μπορεί να ποικίλλουν σε σοβαρότητα από μικρά έως πλήρη κατάγματα.
Και όχι μόνο ένα σπασμένο δόντι μπορεί να είναι επώδυνο, αλλά συνήθως απαιτεί άμεση οδοντιατρική φροντίδα.
Επισκεφτείτε το οδοντιατρείο μας στη Λαμία αμέσως εάν ένας από τους γομφίους σας σπάσει στο ύψος των ούλων σας ή κάτω από αυτήν. Εάν συμβεί όταν δεν μπορείτε να δείτε τον οδοντίατρο, μπορείτε επίσης να επισκεφθείτε τα επείγοντα ενός νοσοκομείου ή ενός κέντρου υγείας .
Συνεχίστε να διαβάζετε για να μάθετε τι μπορείτε να κάνετε εάν ένας από τους γομφίους σας σπάσει στο ύψος των ούλων σας και γιατί μπορεί να έχει συμβεί.
Ποια είναι τα συμπτώματα ενός σπασμένου δοντιού;
Εάν ο γομφίος σας σπάσει στο ύψος των ούλων σας, πιθανότατα θα μπορείτε να νιώσετε το μέρος του δοντιού που λείπει με τη γλώσσα σας. Μπορεί να νιώσετε την οδοντωτή και αιχμηρή άκρη του εναπομείναντος θραύσματος να έχει μείνει στα ούλα σας.
Πιθανότατα θα είναι σαφές ότι το δόντι σας έχει σπάσει αν κοιτάξετε στο στόμα σας. Ωστόσο, μπορεί να είναι δύσκολο να δείτε μόνοι σας τον γομφίο χωρίς τα ειδικά εργαλεία και τα φώτα στα οποία έχει πρόσβαση ένας οδοντίατρος.
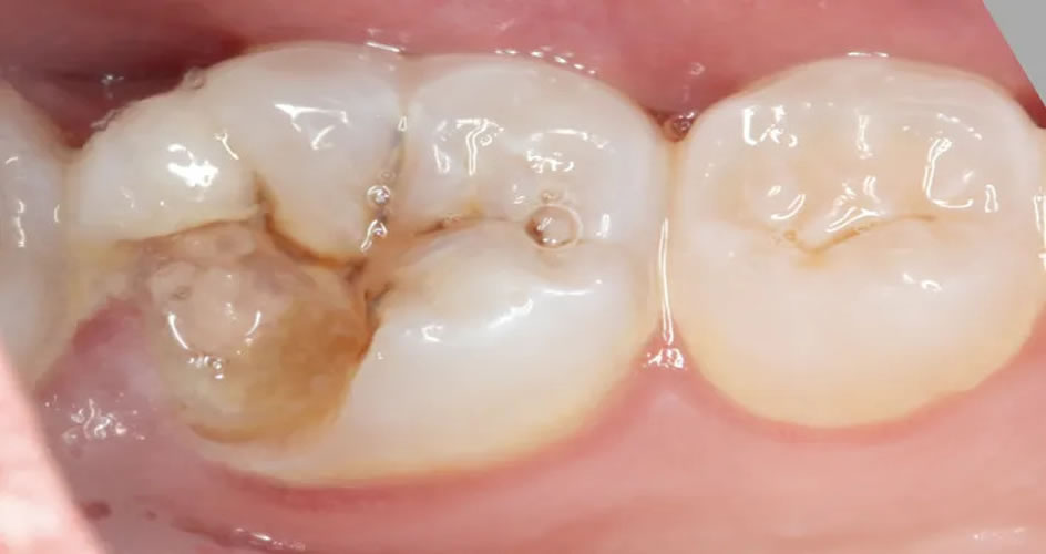
Εάν μπορείτε να δείτε το σπασμένο δόντι, μπορεί να φαίνεται κίτρινο ή ροζ από την εκτεθειμένη οδοντίνη και τον πολφό (νεύρο) μέσα στο δόντι σας. Εάν φαίνεται μαύρο ή σκούρο καφέ , μπορεί να είναι σημάδι τερηδόνας.
Μπορεί επίσης να γευτείτε αίμα από σπασμένα αιμοφόρα αγγεία μέσα στο δόντι ή από κοψίματα στα ούλα ή τη γλώσσα σας.
Εάν ο πολφός (νεύρο του δοντιού) είναι εκτεθειμένος, πιθανότατα θα αισθανθείτε πόνο από την έκθεσή του. Σε ορισμένες περιπτώσεις, το σπασμένο δόντι μπορεί να μην πονάει καθόλου ή ο πόνος μπορεί να εμφανίζεται κατά κύματα.
Οι αιχμηρές άκρες που απομένουν από το σπασμένο δόντι μπορεί επίσης να προκαλέσουν φλεγμονή στα γύρω ούλα ή τη γλώσσα σας από το τρίψιμο.
Κρύα ή γλυκά τρόφιμα ή ποτά είναι επίσης πιθανό να προκαλέσουν πόνο.
Τι πρέπει να κάνω μετά;
Για ένα σπασμένο δόντι και όλα τα άλλα οδοντιατρικά επείγοντα περιστατικά, επισκεφθείτε τον οδοντίατρό σας το συντομότερο δυνατό. Όσο πιο γρήγορα ο οδοντίατρός σας μπορεί να εξετάσει το δόντι σας, τόσο μεγαλύτερη είναι η πιθανότητα να έχετε καλό αποτέλεσμα χωρίς επιπλοκές.
Εάν ο γομφίος σας σπάσει κάτω από το ύψος των ούλων σας, υπάρχει μεγάλη πιθανότητα η ζημιά να είναι αρκετά σημαντική ώστε να απαιτεί εξαγωγή.
Εάν ταξιδεύετε και δεν έχετε πρόσβαση στον οδοντίατρο της πόλης σας, μπορείτε επίσης να δοκιμάσετε να καλέσετε τις οδοντιατρικές κλινικές της περιοχής σας για να δείτε εάν μπορούν να σας δουν. Οι περισσότεροι οδοντίατροι αφήνουν χρόνο στο πρόγραμμα τους για τη θεραπεία επειγόντων περιστατικών. Εάν δεν μπορείτε να πάτε σε μια οδοντιατρική κλινική, επισκεφθείτε τα επείγοντα κάποιου νοσοκομείου ή κέντρου υγείας.
Πώς αντιμετωπίζεται ένας σπασμένος γομφίος;
Τα δόντια που είναι σπασμένα κάτω από το ύψος των ούλων είναι γνωστά ως υποουλικά κατάγματα.
Το εάν το δόντι σας μπορεί να σωθεί εξαρτάται από το πόσο βαθιά έχει σπάσει και πόσο γρήγορα θα λάβετε θεραπεία.
Ο οδοντίατρός σας μπορεί να χρειαστεί να επαναφέρει το περίγραμμα του οστού σας με μια διαδικασία που ονομάζεται επιμήκυνση μύλης για να μπορέσει να διορθώσει το σπασμένο δόντι σας.
Εάν μπορείτε να βρείτε τα θραύσματα του σπασμένου δοντιού σας, ο οδοντίατρός μπορεί να είναι σε θέση να το συνδέσει ξανά μεταξύ τους. Αλλά εάν η ζημιά εκτείνεται κάτω από τη γραμμή των ούλων σας, πιθανότατα θα χρειαστεί να εξαχθεί.
Επανασύνδεση σπασμένου θραύσματος
Η επανασύνδεση του σπασμένου δοντιού μπορεί να είναι δυνατή σε ορισμένες περιπτώσεις. Αλλά όσο πιο βαθιά σπάει το δόντι σας, τόσο πιο δύσκολο γίνεται να το κολλήσετε μεταξύ τους.
Η επανατοποθέτηση του αρχικού σας δοντιού μπορεί να προσφέρει αισθητικά ευχάριστα αποτελέσματα, καθώς το δόντι σας προσφέρει φυσικό χρώμα και υφή.
Η επαναπροσάρτηση είναι μια σχετικά απλή διαδικασία. Ο οδοντίατρός θα χρησιμοποιήσει έναν από τους πολλούς συγκολλητικούς παράγοντες.
Ενδοδοντική Θεραπεία (απονεύρωση)
Μια ενδοδοντική θεραπεία μπορεί να συνδυαστεί με τεχνικές επανασύνδεσης ή σφραγίσματα.
Η ενδοδοντική θεραπεία (απονεύρωση) είναι μια διαδικασία που περιλαμβάνει την αφαίρεση του πολφού (νεύρο δοντιού) που περιέχει τα νεύρα και τα αιμοφόρα αγγεία από το κέντρο του δοντιού σας και την αντικατάστασή τους με ειδικά υλικά.
Αυτή η διαδικασία εκτελείται όταν το εσωτερικό του δοντιού σας έχει μολυνθεί ή έχει φλεγμονή.
Τεχνικές εξώθησης
Η εξώθηση (μετακίνηση του δοντιού σας πολύ αργά έξω από το οστό) είναι μια τεχνική που μπορεί να χρησιμοποιήσει ο οδοντίατρός σας για να σώσει ένα δόντι που έχει σπάσει κάτω από τη γραμμή των ούλων.
Κατά τη διάρκεια αυτής της τεχνικής, θα φοράτε σιδεράκια που προκαλούν δύναμη για πολλές εβδομάδες στο σπασμένο δόντι για να τραβήξετε την κορυφή του δοντιού πάνω από το ύψος των ούλων σας.
Μόλις εκτεθεί η κορυφή του δοντιού, ο οδοντίατρός σας μπορεί να εφαρμόσει μια στεφάνη (θήκη).
Σφράγισμα ή Στεφάνη (θήκη)
Εάν η ζημιά είναι μικρή, κάτι που είναι απίθανο εάν το σπάσιμο είναι κάτω από τη γραμμή των ούλων σας, ο οδοντίατρός σας μπορεί να χρησιμοποιήσει ένα σφράγισμα από σύνθετη ρητίνη στην ίδια απόχρωση του χρώματος του δοντιού για να διορθώσει το σπασμένο δόντι.
Ο οδοντίατρός σας μπορεί επίσης να μπορεί να καλύψει το δόντι σας με μια στεφάνη. Η στεφάνη είναι μια προσθετική εργασία που μπορεί να καλύψει το εκτεθειμένο τμήμα. Μπορούν να κατασκευαστούν από σύνθετη ρητίνη, κεραμικά ή κράματα μετάλλων.
Εάν δεν υπάρχει αρκετό δόντι εκτεθειμένο για να συγκρατήσει τη στεφάνη στη θέση της, ο οδοντίατρός σας μπορεί να κάνει επιμήκυνση μύλης. Κατά τη διάρκεια αυτής της κοινής διαδικασίας, ο οδοντίατρός σας επαναφέρει το περίγραμμα των ούλων σας για να αποκαλύψει περισσότερο δόντι.
Εξαγωγή ή αντικατάσταση δοντιών
Εάν το δόντι σας δεν μπορεί να θεραπευθεί, ο οδοντίατρός σας πιθανότατα θα σας συστήσει να κάνετε εξαγωγή.
Μερικές επιλογές αντικατάστασης για το δόντι περιλαμβάνουν:
- Οδοντοστοιχίες. Είναι ψεύτικα δόντια που εφαρμόζουν πάνω από τα ούλα σας. Μπορούν να αντικαταστήσουν ένα ή περισσότερα δόντια.
- Οδοντικά εμφυτεύματα. Είναι τεχνητές ρίζες που χρησιμοποιούνται για τη συγκράτηση των στεφανών (θηκών).
- Οδοντικές γέφυρες. Είναι ψεύτικα δόντια που συγκρατούνται στη θέση τους από τα δόντια εκατέρωθεν.
Πώς είναι η ανάρρωση από έναν σπασμένο γομφίο;
Το στόμα σας πιθανότατα θα πονάει μετά τη θεραπεία και ο πόνος μπορεί να επιδεινωθεί μόλις τελειώσει η δράση του τοπικού αναισθητικού . Αλλά ο πόνος θα πρέπει να βελτιωθεί τις επόμενες ημέρες, υπό την προϋπόθεση ότι δεν αναπτύξετε κάποια μόλυνση. Βέβαια με τα σωστά παυσίπονα μπορεί και να μην υπάρχει καθόλου.
Εάν γίνει ενδοδοντική θεραπεία (απονεύρωση), ο οδοντίατρός σας μπορεί να σας συστήσει να αποφύγετε το μάσημα από τη συγκεκριμένη πλευρά για μερικές ημέρες για την αποφυγή μεγαλύτερου σπασίματος. Θα πρέπει να μπορείτε να επιστρέψετε στη συνήθη διατροφή σας όταν επουλωθεί το δόντι.
Υπάρχουν πιθανές επιπλοκές από σπασμένο γομφίο;
Τα σπασμένα δόντια είναι επιρρεπή στην τερηδόνα καθώς δεν έχουν το προστατευτικό τους σμάλτο για να καλύψει τα αιμοφόρα αγγεία και τα νεύρα μέσα.
Εάν δεν λάβετε θεραπεία με το σπασμένο δόντι σας, κινδυνεύετε:
- μόλυνση
- απόστημα
- βλάβη στο νεύρο του δοντιού
Μόλις ξεκινήσει μια μόλυνση, τα βακτήρια μπορούν να εξαπλωθούν στα οστά της γνάθου ή στα γύρω δόντια και τα ούλα σας. Σε σοβαρές περιπτώσεις, μπορεί να οδηγήσει σε μόλυνση του οστού της γνάθου.
Ποιες είναι οι πιο συχνές αιτίες σπασμένου γομφίου;
Μερικές από τις πιο κοινές αιτίες και παράγοντες που συμβάλλουν σε ένα σπασμένο δόντι περιλαμβάνουν:
- πολύ δυνατό δάγκωμα, ειδικά κατά λάθος
- μη θεραπευμένες κοιλότητες που οδηγούν σε τερηδόνα
- επαναλαμβανόμενες κοιλότητες
- γήρανση των δοντιών
- ξαφνικές αλλαγές στη θερμοκρασία του στόματος
- χρόνιο τρίξιμο των δοντιών ( βρουξισμός )
- αδυναμία που προκαλείται από ένα σφράγισμα, όταν αυτό είναι εκτεταμένο
Τραύμα του προσώπου από ατυχήματα και αθλητικούς τραυματισμούς μπορεί επίσης να οδηγήσει σε σπασμένο δόντι. Ωστόσο, είναι πιο συνηθισμένο το τραύμα να οδηγεί σε σπασμένο μπροστινό δόντι παρά σε γομφίο.
Πώς μπορώ να αποτρέψω να σπάσει ένας γομφίος;
Μπορείτε να αποτρέψετε ένα σπάσιμο του γομφίου με:
- αποφεύγοντας το μάσημα πάγου , σκληρών γλυκών ή άλλων σκληρών τροφών
- περιορίζοντας την πρόσληψη ζαχαρούχων τροφών
- αποφεύγοντας να χρησιμοποιείτε τα δόντια σας για να κόψετε πράγματα
- φορώντας προστατευτικό νάρθηκα όταν παίζετε αθλήματα επαφής
- βουρτσίζοντας τακτικά τα δόντια σας
- αποφεύγοντας το σφίξιμο και το τρίξιμο των δοντιών σας
- φορώντας προστατευτικό νάρθηκα εάν τρίζετε τα δόντια στον ύπνο σας
Να θυμάστε
Εάν ένας από τους γομφίους σας σπάσει κάτω από τη γραμμή των ούλων, θα πρέπει να επισκεφτείτε αμέσως τον οδοντίατρό σας. Εάν δεν είναι δυνατό να δείτε τον οδοντίατρό σας, επικοινωνήστε με άλλη οδοντιατρική κλινική στην περιοχή σας ή επισκεφθείτε ένα νοσοκομείο που έχει οδοντιατρική μονάδα.
Σε ορισμένες περιπτώσεις, ο οδοντίατρός σας μπορεί να είναι σε θέση να σώσει το δόντι σας. Όσο πιο γρήγορα ενεργείτε, τόσο πιο πιθανό είναι να σώσετε το δόντι. Η γρήγορη δράση μειώνει επίσης τον κίνδυνο εμφάνισης λοίμωξης από εκτεθειμένα νεύρα και αιμοφόρα αγγεία.
















